Halfenprox,PESTANAL, analytical standard
Glutaraldehyde solution,for in vitro diagnostic use
Quantification kit for oxidized and reduced glutathione,200 tests
Acetate Solution,2.5 M, pH 5.2
Fast Garnet GBC Base Solution,
Tartrate Solution,
Leukocyte Acid Phosphatase (TRAP) Kit,Kit formulated with all liquid reagents
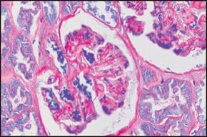
Periodic Acid Solution,1 g/dL in deionized water
Schiff’s Reagent,
Periodic Acid-Schiff (PAS) Staining System,
Cannabidiolic acid,analytical standard
Laccase from Agaricus bisporus,powder, deep brown, >=4 U/mg














